Mais de 99% dos traumas infantis já são resolvidos em Anápolis
Quando o sistema funciona, o resultado aparece exatamente onde mais importa: na vida real das pessoas

Há pouco tempo nos governos anteriores, uma criança vítima de trauma em Anápolis tinha um destino quase certo: a estrada.
A ausência de estrutura local para resolução de casos mais complexos obrigava famílias a enfrentarem deslocamentos até Goiânia ou outras cidades, muitas vezes em momentos de dor, urgência e insegurança.
Os dados mais recentes do Hospital Municipal Alfredo Abraão mostram que essa realidade começou a mudar de forma concreta. Nesse ano de 2026 (quase três meses), foram realizados praticamente 1000 atendimentos ortopédicos pediátricos, com apenas 7 encaminhamentos para outras unidades.
Isso significa que mais de 99% dos casos foram resolvidos dentro do próprio município. Um indicador objetivo de eficiência e organização da rede e comandada pelo Prefeito Marcio Corrêa e a equipe da Secretaria de Saúde, liderada pela secretária Jaqueline.
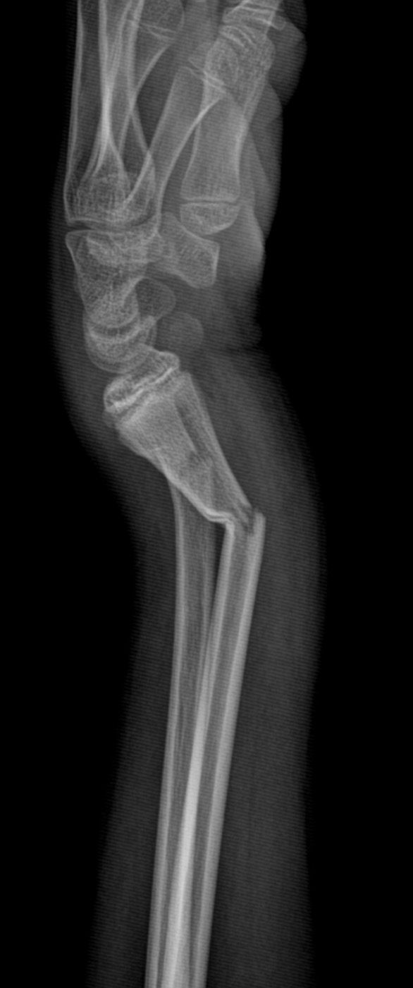
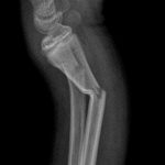
Essa transformação não está apenas nos números. Ela pode ser vista. As imagens que acompanham este texto mostram dois casos atendidos hoje no pronto socorro: crianças com fraturas no antebraço que foram avaliadas, diagnosticadas e operadas no próprio hospital, sem necessidade de transferência. Situações que exigem agilidade, equipe treinada e estrutura funcional.
Em outro episódio recente, uma criança em férias na cidade, com fratura grave de cotovelo, passou por todo o processo, do atendimento à alta hospitalar, em cerca de 10 horas, e já recuperada enviou um vídeo de agradecimento diretamente de Portugal, há dois dias.
Mais do que números, o que se observa é uma mudança concreta na capacidade de resposta da rede pública municipal. Reduzir deslocamentos, garantir atendimento oportuno e resolver a grande maioria dos casos localmente não é apenas uma questão de eficiência. É uma entrega direta de dignidade às famílias.
Quando o sistema funciona, o resultado aparece exatamente onde mais importa: na vida real das pessoas.
Siga o Portal 6 no Instagram: @portal6noticias e fique por dentro das últimas notícias de Anápolis!




























